
近日,同济医院收到一封情真意切的感谢信,写信人是心血管内科患者王明(化名)的家属。信中,家属以质朴的文字,详细讲述了78岁的父亲从突发重症、生命垂危到顺利出院的全过程,字里行间满是对刘学波、来晏、严文文医生及全体参与救治医护人员的感激之情,深情诠释了“医者仁心”与“不放弃”的救治信念。


时间回溯至2026年1月4日,对王明全家而言,这是一个刻骨铭心的日子。当日,78岁的王先生因广泛前壁心肌梗死,突发急性左心衰,加之其本身患有糖尿病,病情异常凶险、生命垂危,家属惊惶失措之下,紧急将其送同济医院急救。
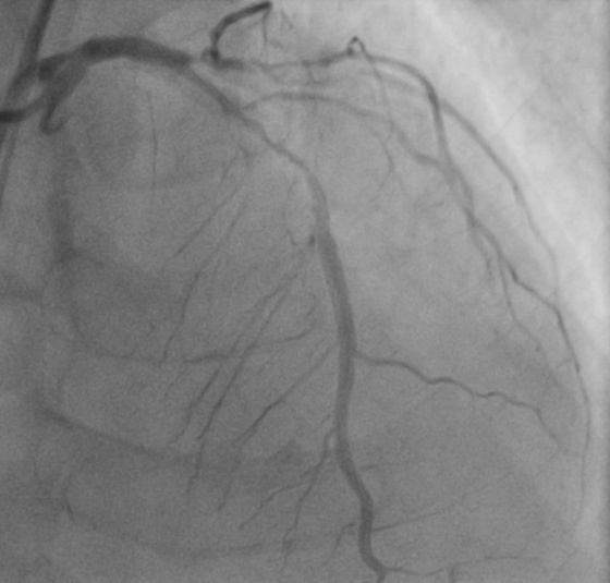
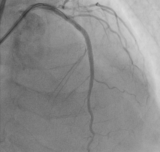
时间就是生命,每一分每一秒都关乎患者安危。抵达医院后,心血管内科在刘学波主任的指挥下迅速响应,医护人员第一时间投入到紧急救治工作中。王明的治疗难度极大,因多年患有糖尿病,心脏三根主要血管均存在重度弥散性钙化病变,外周血管状况也差,且肾功能不全、贫血。经过纠正心衰治疗病情相对稳定后,1月13日,在前期充分的药物治疗基础上,刘学波、来晏、姚义安、钱军等医生对患者行冠脉造影术,提示心脏三根冠脉均存在重度狭窄。其中最重要的左前降支为重度钙化病变,并且术中患者血压偏低,医护人员当机立断,为患者植入主动脉内球囊反搏(IABP),针对严重钙化的血管,来晏主任医师精准运用冠脉内冲击波碎石术(震波球囊)等专业技术破解治疗难题,成功在左前降支植入支架,有效疏通狭窄血管,手术全程顺利,为患者生命安全奠定坚实基础。

支架术前

支架术后
然而治疗过程并非一帆风顺,1月16日,患者突发III度房室传导阻滞,心脏骤停,医护团队不顾疲惫,有序实施床边抢救并启动应急处置,植入临时起搏器并复查冠脉情况,及时化解危机。王明的病情颇为棘手,为排除其他原因导致的心衰、肾衰以及贫血,启动了MDT(多学科)会诊,召集肾脏内科、血液内科、内分泌代谢科、风湿免疫科、心脏康复科、医学影像科等多个科室的专家共同研讨,排除心肌淀粉样变等疾病,并不断调整治疗方案,为患者的救治提供了安全保障。
医护团队的敬业与坚守,让家属倍感温暖与敬佩。从紧急救治到术后观察,医生们始终细致监测患者病情,用通俗易懂的语言讲解病情和治疗方案,用温和的话语安抚家属焦虑情绪,用专业技术守护患者生命。刘学波提到:“以病人为中心,规范诊治是我们的科室文化,我们要求医护人员不仅要有技术,也要有人文关怀。”这种有温度的医疗服务不仅缓解了患者的病痛,更拉近了医患之间的距离,践行了“温暖在同济”的理念。
王先生在CCU足足接受了一个月的重症监护与治疗,如此长的CCU住院时间在临床中较为少见,足以看出其病情的复杂性与救治的艰难性。谈及救治成功的关键,除了精准运用冠脉内冲击波碎石术、IABP等心血管内科成熟的介入治疗技术作为支撑,还有MDT多学科会诊的群策群力,最核心的还是医生们“不放弃”的信念。严文文表示:“当患者的病情未能沿着预期的轨迹前行,我们更应严密监测生命体征,不放过任何蛛丝马迹。只要还有一线希望,我们便会倾尽全力,为患者争取生的可能。”正是这份敬业与坚守,成功将患者从生死边缘拉回,使患者在过年前顺利出院,与家人团圆。
一封感谢信,承载着一份沉甸甸的信任与感激,更是对医护人员工作的最高肯定。刘学波、来晏、严文文三位医生及心血管内科全体医护人员,用精准的专业技术、“不放弃”的坚定信念,诠释了“医者仁心”的深刻内涵。未来,同济医院将始终坚持以患者为中心,注重多学科协作,不断提升复杂病症诊疗水平,用专业与温度为群众的生命健康保驾护航。
图文 | 宣传处
编辑 | 张鹰妮
责任编辑 | 谢壮丽



