46岁的刘先生,被一场顽固咳嗽困住了近两个月。从最初的干咳不止,到后来稍一活动就胸闷、喘不上气,原本轻松的日常变得步履艰难。在附近医院做完胸部CT提示:肺门及纵隔多发淋巴结肿大,病因不明。去上海大医院?路途远、住院难,奔波折腾;留在本地?怕查不清、耽误病情,满心不安。在两难之际,刘先生经推荐走进了瑞金医院太仓分院呼吸与危重症医学科,让他在家门口解开了病痛困扰。
PART 1
纵隔藏 “雷”,常规检查束手无策
接诊的瑞金医院太仓分院呼吸与危重症医学科执行主任丁永杰仔细问诊、反复研读 CT 影像后,初步判断良性病变“结节病”可能性大,但必须拿到病理活检才能确诊及鉴别诊断。可一个难题横在眼前:患者肿大的淋巴结深藏在气道外的纵隔区域,这里解剖结构如同 “迷宫”,紧邻心脏、主动脉、肺动脉等关键器官,差之毫厘就可能危及安全,常规支气管镜无法到达,必须通过全麻下超声支气管镜引导经支气管针吸活检术(EBUS-TBNA)才能实现安全、精准穿刺取样。这项技术需要医生在超声实时监控下,用细针穿透气道壁,精准刺入淋巴结,全程避开大血管,对医生的技术、经验、判断力要求极高。EBUS-TBNA可有效探查常规支气管镜无法触及的纵隔、肺门等“盲区”,是纵隔淋巴结肿大病因诊断、肺癌术前分期的核心技术。

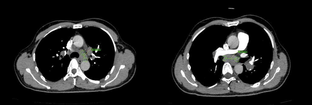
CT显示纵隔及肺门多组淋巴结异常增大
面对这项高难度手术,太仓分院立即启动了与总院一体化联动机制,第一时间对接总院,特邀瑞金总院呼吸与危重症医学科李庆云主任、胸腔介入中心严天骊护士长,联合分院麻醉科张富军主任团队,开展多学科术前评估与方案研讨。呼吸、麻醉、介入护理组建的多学科团队紧密协作,反复评估患者情况,精细规划穿刺路径,完善应急方案,从麻醉细节到操作步骤,层层把关,为手术筑牢安全防线。
PART 2
多学科协作,精准“镜”下穿刺
手术当天,舒适化医疗全程守护。麻醉科执行主任张富军为刘先生量身定制全麻方案,全程严密监护生命体征,让患者在无痛安睡中完成检查,平稳的麻醉状态,为这场高难度穿刺创造了最佳条件。

手术台上,李庆云与丁永杰两位医生默契配合,超声支气管镜深入气道,纵隔内淋巴结、血管影像清晰呈现,两位专家凝神操作,在毫米级空间里精准避开心脏、大血管,稳稳将穿刺针送入目标淋巴结,顺利取出足量、合格的组织标本。整套操作行云流水,既展现了顶尖的介入技术,也让这项高难度的EBUS-TBNA 技术在太仓分院成功落地,填补了技术空白。术后苏醒的刘先生连连感叹:“真的一点感觉都没有,睡了一觉,检查就做完了!”
PART 3
沪太联线,制定个体化治疗方案
手术成功只是第一步,标本取出后,多学科协作仍在继续。太仓分院病理科执行主任袁菲团队第一时间检测标本,发现肉芽肿性病变,排除了恶性肿瘤和特殊感染。为了确保诊断精准、治疗规范,分院立即启动与总院线上MDT多学科会诊。总院专家组结合临床症状、影像结果、病理报告,最终明确诊断为结节病,与术前判断完全吻合,并给出了标准化的治疗方案。从手术取材到病理确诊,再到MDT会诊制定方案,全程高效衔接,让患者在家门口就享受到与瑞金总院同质化的顶级医疗服务。如今,刘先生已在太仓分院接受规范治疗,咳嗽、胸闷症状明显缓解,重回正常生活。他忍不住感慨:“真没想到不用跑上海,在家门口就能享受到瑞金医疗服务,医生技术太精湛了!”

一台高难度的EBUS-TBNA手术,是总院分院一体化管理的生动实践,是多学科联动协同的完美展现,更是优质医疗资源下沉基层的真实写照。未来,太仓分院呼吸与危重症医学科将依托总院强大技术支撑,不断开展高精尖呼吸介入技术,用专业与温暖,守护太仓及周边百姓每一次平稳呼吸。
欢迎转发点赞
素材丨太仓分院
编辑丨祁洁
