跨越近千公里,从齐鲁大地到浦江之畔,50岁的王女士(化名)因胰腺肿瘤来杨浦区中心医院求医。医院新引进肝胆胰外科专业团队,为其成功施行院内首例机器人辅助胰头肿瘤切除术。这不仅是杨中心首次开展此类手术,更是上海区属医院中第一例机器人辅助胰头肿瘤切除术。
深藏“禁区”的占位
今年2月,王女士因胆囊结石伴急性胆囊炎在山东老家接受手术。然而,术前的常规检查却意外揪出了一个更令人忧心的隐患——胰腺钩突部占位。受限于医疗条件,当地医院仅切除了胆囊,对于那颗潜伏在胰腺上的肿物却无从下手。
未知的病变如同悬在头顶的利剑,到底是不是癌症仍不得而知。带着对生命的渴求与对疾病的恐惧,王女士在术后恢复期毅然踏上了赴沪求医之路,找到了杨中心新引进的肝胆胰外科专家程庆保主任团队。
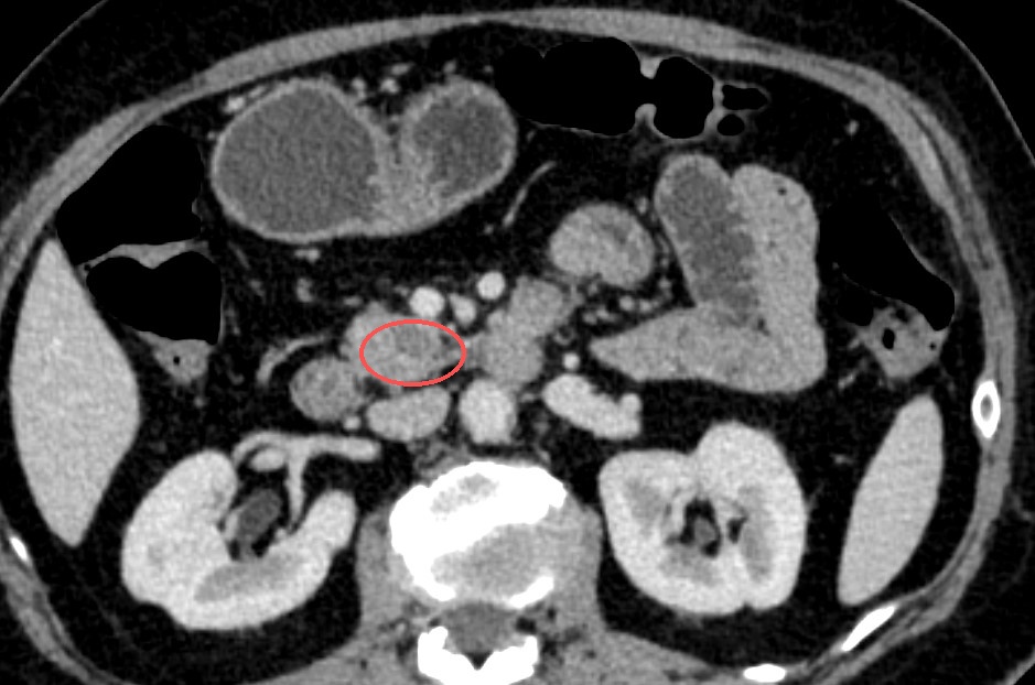
来院后,进一步的影像学检查揭开了这颗隐匿肿物的真面目:疑似胰腺实性假乳头状瘤,直径约2.5厘米,仅一枚一元硬币大小。“肿瘤与重要血管紧密交织,即便是在传统开腹手术的直视下,显露和分离都极其困难,稍有不慎就会面临难以控制的大出血。”程庆保主任介绍道。


胰腺钩突隐匿于腹腔极深处,不仅操作空间极其逼仄,紧密包绕着肠系膜上动静脉,更为众多的致命大血管所包绕。这里神经淋巴密集,肿瘤极易与周围脏器致密粘连,医生必须在极其狭小的缝隙里“走钢丝”,既要精准剥离血管、防范大出血,又要完成彻底的清扫,堪称外科手术的“生命禁区”。
保全生命,更要捍卫尊严
面对这块难啃的硬骨头,如果采取传统的胰十二指肠切除术,虽然能切除病灶,但需要切除部分胃、肠道和胆道,术后患者将面临严重的消化功能受损,生活质量大打折扣。
保全生命,更要捍卫尊严。经过严谨的术前讨论,并与家属进行深度沟通后,程庆保团队决定采用机器人辅助腹腔镜手术,实施肿瘤精准切除。
“机器人的3D高清放大视野和灵活转腕机械臂,能让我们在极其狭小的空间里看清每一根细微的血管。”团队的终极目标不仅是完整剥离肿瘤,更要避开周围大血管,保住患者的主胰管,最大程度捍卫胰腺正常的内外分泌功能,避免患者术后陷入长期消瘦、腹泻等痛苦。
机器人护航下的极限剥离
作为杨中心的第一台机器人辅助胰头肿瘤切除术,这不仅是对主刀医生的考验,更是对全院协作能力的检验。麻醉科王颖林主任与仲米兰护士长抽调了经验丰富的麻醉师与护理骨干,全程严阵以待,保驾护航。
无影灯下,只有仪器平稳的滴答声和机械臂转动的微响。进入腹腔后,医生们首先小心翼翼地松解了腹腔粘连,打开大网膜,降低结肠区域,逐步将深藏的胰腺钩突部暴露在机械臂下。

程庆保主任与倪俊声副主任轮流坐镇操作台,程庆保主任曾获中国抗癌协会抗癌金刀杯手术视频大赛一等奖,倪俊声副主任曾联合主刀完成全国首例经脐单孔免气腹腹腔镜肝切除术。在高清视野下,他们操作机械臂探入极其狭窄的缝隙,进行着极其精细的游离;赵腾副教授、王晖副教授的默契配合,仔细分离与清理术区;王松医生在台上随时协助。凭借机器人“透视眼”和“稳定手”的加持,错综复杂的血管网被一一拨开、保护,肿瘤被完整剔除。整场手术的出血量被严格控制在了100毫升以内,做到了真正的“微创无血”。


温情照护,快速康复
手术的成功只是治愈的第一步,术后的快速康复则交由病区金小芳护士长带领的护理团队温情接力。
在微创技术的加持和护理团队的精心照护下,王女士并没有经历想象中的剧烈疼痛与虚弱。术后第二天,她便顺利进食流质饮食。目前已顺利出院,回归正常生活。
相较于传统开腹手术动辄半个月的住院期和诸多并发症风险,这次微创“突围”不仅大幅缩短了住院时间,更切实减轻了患者身体上的创痛和家庭的经济负担。
首次机器人辅助胰头肿瘤切除术的成功,是杨浦区中心医院肝胆胰外科成立后新高度上的一个起点。手术机器人作为一种高科技医疗设备,在视觉系统上碾压传统腔镜手术,具备专业的高水平操作者利用其灵活仿真机械臂,能够从容进行疑难疾病和复杂结构解剖的手术,达到创伤更小、出血更少、并发症更低。机器人手术将在杨浦区中心医院肝、胆、胰外科大范围推广应用,为更多肝胆胰疾病的患者点亮生命之光。

杨浦区中心医院肝胆胰外科是新成立的重点发展学科,团队由资深肝胆胰专家领衔,依托医院先进的微创手术平台与多学科协作(MDT)模式,致力于肝脏、胆道、胰腺、脾脏及十二指肠等部位良恶性疾病的规范化、精准化、个体化诊疗。
常规开展肝癌、胆囊癌、胆管癌、胰腺癌、复杂肝内胆管结石、胰腺囊肿等疾病的外科治疗;以微创为特色,熟练开展腹腔镜下肝切除、胆囊切除、胆道探查、胰体尾切除等手术;联合肿瘤科、消化内科、中医科、介入科等组建MDT团队,为肿瘤患者提供“一站式”全程管理;践行加速康复外科(ERAS)理念,减轻患者痛苦。

编辑:周梦真
资料:区卫健委
*转载请注明来自上海杨浦官方微信
