生活中不起眼的小异物
竟可能成为威胁生命的“隐形杀手”
近日,50岁的张先生(化名)因反复发热、剧烈咳嗽前往同济大学附属上海市第四人民医院就医,结果发现右下肺已大面积感染,接近“烂肺”边缘。而罪魁祸首,竟是一枚“消失”的话梅核!
原来,张先生有睡前含食东西的习惯。据他回忆,某晚他含着2颗话梅入睡,醒来却发现其中一颗消失了,以为吞入腹中便未在意。随后几天,他开始反复发热。起初以为是感冒,但随着时间推移,发热、咳嗽等症状不仅没有缓解,反而更加严重。“咳着咳着开始胸痛,才觉得不对劲,没想到检查出来是话梅核卡进了支气管。”

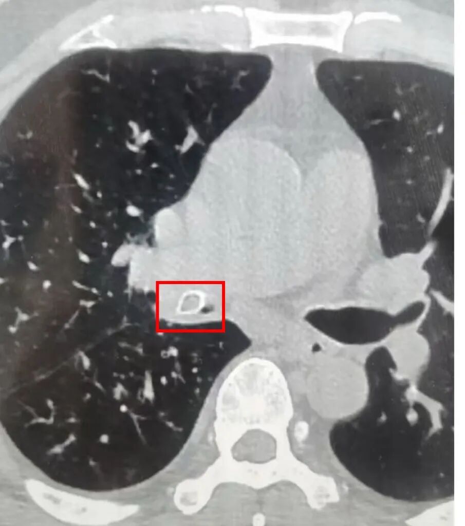
红框标出处为话梅核所在
“张先生的‘烂肺’其实是肺脓肿,是因话梅核完全堵塞右下支气管造成的。”上海四院呼吸与危重症医学科主任李兵介绍,人在吞咽或睡眠时,喉咙的会厌软骨本应关闭气管通道,但若此时突然吸气(如惊醒、呛咳),气管会瞬间开放,异物便可能“溜进”支气管。“话梅核完全堵塞右下支气管后,空气无法进入该区域,加上分泌物滞留无法排出,滋生大量细菌,导致阻塞性肺炎。如果不及时将异物取出,感染会蔓延至整个肺叶,甚至引发脓胸、败血症。”

取出的话梅核
最终,医生通过支气管镜手术,成功将这枚致命异物取出。张先生也已出院回家休养。
事实上
在日常生活中
被异物卡喉的事件时有发生
如何正确施救
↓↓↓
海姆立克法
(成人及儿童>1岁)
☑站在患者身后,双臂环绕其腰部;
☑手握拳,拳眼(拇指侧)放在患者腹部正中线,肚脐上方、胸骨下的位置;
☑另一手包住拳头,快速向上向内冲击腹部,直至异物排出。
婴儿(<1岁)
☑将婴儿脸朝下放在你的前臂上,头部低于胸部,用手托住其下颌;
☑用另一只手的掌根在婴儿背部肩胛骨之间用力拍击5次;
☑如果异物未排出,将婴儿翻转,脸朝上,放在大腿上,头部仍低于身体;
☑用两指(食指和中指)在胸部中央(乳头连线中点下方)快速向下按压5次(深度约胸廓的1/3),交替进行5次背部拍击和5次胸部按压,直到异物排出或婴儿失去意识。
“紧急施救后,即便异物咳出,也要马上送医院急诊。”李兵强调,防胜于救,为避免异物卡喉,市民在进食时要谨记“不躺卧、不说话、不匆忙吞咽”的原则。同时,对老人儿童来说,应慎食整颗杨梅、话梅、坚果等高危食物,睡前要取出假牙,不要含食食物。若疑似误吸,无论有无症状都要及时就医,以免延误病情。
记者:孙洁静
图片:上海市第四人民医院
编辑:孙洁静