近日,在海拔3800米的雪域高原,微创医疗技术再次实现跨越式突破。第十一批“组团式”援藏医疗队员复旦大学附属华山医院胰腺外科毛益申医生、上海交通大学医学院附属瑞金医院超声科刘振华医生、上海市第六人民医院麻醉科张清福医生、复旦大学附属肿瘤医院曹阿勇医生,在对口援建的日喀则市人民医院成功实施了西藏自治区首例超声引导下的肝脏肿瘤射频消融术。作为上海第十一批“组团式”医疗援藏队引入的关键技术,该技术的成功应用不仅填补了自治区在该治疗领域的空白,更是上海“组团式”医疗援藏“技术输血”的又一丰硕成果。
精准施治,填补高原治疗空白
日喀则地区肝脏肿瘤发病率较高,且以原发性肝癌为主,少部分为转移性肝癌。对于许多合并基础疾病、无法耐受传统外科手术的早中期肝癌患者,或是系统治疗后仍有残余病灶的转移性肝癌患者,寻找一种更精准、更安全的治疗方式迫在眉睫。超声引导下的肝脏肿瘤射频消融术仅通过一个微小穿刺点,就能在实时超声精准导航下,将消融针直达肿瘤内部,利用热能瞬间“灭活”癌细胞。从而为此类患者在兼顾治疗创伤与安全性的前提下根治肿瘤(或降低肿瘤负荷),改善患者的生存治疗、延长生存期。
援藏队员们在日喀则市进行的首例超声引导下的肝脏肿瘤射频消融手术病例,是一位卵巢肿瘤伴肝脏多发转移的患者。患者就诊于日喀则市人民医院普外科,入院后经全面评估,暂无根治性外科手术指征,但仍可以通过多种方式对肿瘤行综合性治疗以延缓患者病情进展,提高患者生存质量。毛益申医生带领普外科团队在医务部的协助下,组织了针对患者肿瘤病情的多学科讨论:分析患者病情后,团队决定采用肝脏肿瘤射频消融术对患者肝脏部分血供不丰富的三处卫星病灶进行精准治疗,再采用介入栓塞的方式对血供较丰富的左右肝两大主要病灶进行集中打击,配合靶向治疗等处理残余肿瘤细胞并巩固疗效。
专家协作,精准实施微创手术
手术当日,为更好地实现术中及术后全程镇痛管理,张清福医生带领的麻醉团队在静脉麻醉的基础上,联合实施了椎旁神经阻滞术,最大程度减轻了术后疼痛引起的不良反应,有利于患者尽早下床活动及康复。
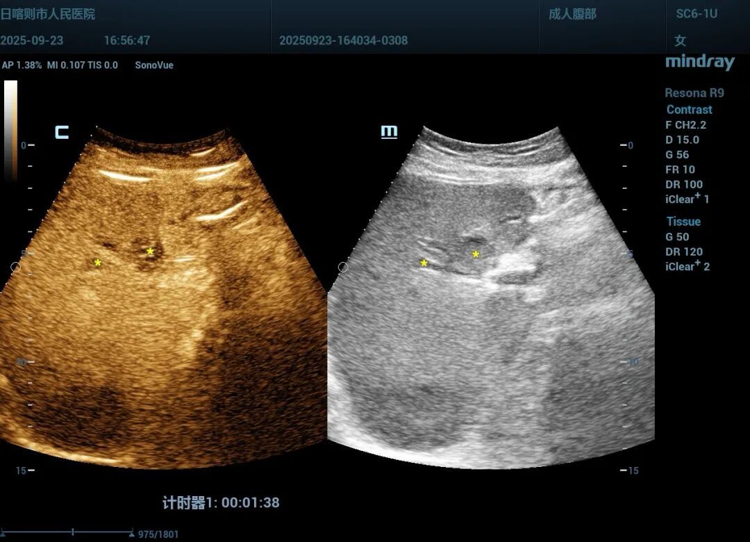
麻醉成功后,团队便紧锣密鼓地开始了手术。毛益申医生、刘振华医生通过仔细的术前超声扫查以及超声造影技术,准确地在超声下定位了本次拟进行治疗的三个病灶,并讨论确定了射频消融针的最佳穿刺路径与消融范围。

刘振华医生术前制定穿刺路径
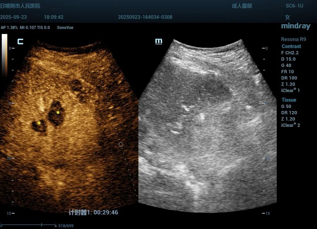
超声科团队的精确实时引导为手术提供了清晰的“导航”。术中,毛益申医生精准地将射频消融针依术前规划的预定路线置入病灶区域,随后启动消融程序对靶病灶进行消融治疗。达到预定消融范围后,刘振华医生再次对病灶进行了超声造影检查,确认病灶已完全被射频消融破坏后,退出消融针。消融完成后未观察到出血等并发症,治疗达到预期效果。随后,团队以同样的方式顺利完成了预定三处卫星病灶的消融治疗。手术过程中,各科室团队配合默契,操作精准有序。

毛益申医生、刘振华医生共同为患者施行消融手术


消融前超声造影定位病灶位置(左);消融后造影复查病灶完全破坏呈“黑洞征”(右)
技术生根,培养本地医疗力量
首例手术成功实施后,援藏专家继续携手,为多位患有早期小肝癌且合并其他基础疾病的患者顺利实施了超声引导下的射频消融治疗。所有患者术后均恢复良好,创伤微小、手术安全、住院时间短、满意度高。
在推进技术应用的同时,援藏专家也高度重视本地人才的培养。他们通过手术带教、实时讲解与术后复盘,向日喀则市人民医院普外科巴桑主任、超声科侯永志主任等骨干医师系统传授技术要点与操作规范。目前,本地医护团队已能基本掌握该技术的核心操作,为该技术在高原地区的长期、独立开展奠定了坚实基础。这种“造血式”的援建模式,真正实现了从技术帮扶到能力共建的转变。
来自上海的“组团式”医疗援藏队不仅带来了先进医学技术,更带来了先进的医疗观念:由曹阿勇医生提议并主导,在华山援藏专家毛益申医生等人的全力配合下,日喀则市人民医院引入并建立了针对肿瘤患者的多学科协作诊疗团队(MDT)模式。这种现代化的肿瘤诊疗理念打破了科室壁垒,通过各学科专家的集体讨论,能为肿瘤患者明确诊断、制定最合适的个体化治疗方案,显著提高了日喀则市人医院对各类肿瘤患者的综合治疗能力。
技术落地并非终点,而是沪藏两地共筑健康屏障的新起点。援藏医疗队将前沿微创理念转化为当地诊疗的实际成效,让医疗援建不仅有“厚度”更有“温度”,推动优质医疗资源跨越山海,守护雪域高原的万家灯火。

喜欢就奖励一个“”和“❤”呗