膝关节疼痛困扰日常,上下楼梯都觉得困难,许多患者的第一反应是:“膝盖是不是坏了,得换关节?”上海市第一人民医院(南院)骨关节科专家赵凤朝表示:对于大多数早中期的膝关节问题,或许还有更优选择——保膝治疗。它如同为膝关节按下“修复键”,精准解决病痛,最大程度地保留“原装”的关节功能和本体感觉。
膝关节并不是一个简单的“铰链”,而是由内侧间室、外侧间室和髌股关节三部分精密协作构成。传统的全膝关节置换,如同将一座结构复杂但仅局部损坏的大桥整个重建。而现代保膝的理念是“精准修复,哪里坏了修哪里”,尽可能保留健康的软骨、韧带和骨骼,从而实现更快康复、更自然的关节活动,并且长期效果更好。

上海市第一人民医院(南院)骨关节科目前提供四种精准保膝技术,针对不同问题定制专属方案。
这项治疗主要适用于因膝内翻(“O”型腿)导致膝关节内侧过度负重、软骨磨损,但外侧间室健康的较年轻、活动量大的患者,也适用于内侧半月板后根损伤的病人。

技术精髓在于通过精确截骨调整小腿力线,如同为倾斜的房屋加固地基、纠正承重轴。核心优势在于保留全部自身关节,手术不切除任何关节结构,旨在通过力线矫正,从根本上缓解关节磨损进程。这为活跃的年轻患者争取更长的“原装关节”使用寿命,是真正意义上的“预防性”修复。
适用于仅单一间室(多为内侧)严重磨损,但前后交叉韧带、其他间室及髌股关节均功能良好的患者。技术精髓在于仅置换膝关节受损的“一半”,创伤更小、出血更少。

核心优势体现在快速康复与极致仿生,术后第二天即可下地行走,康复速度明显快于全膝置换。更重要的是,它最大限度地保留了膝关节自然的生物力学和本体感觉,患者术后常感觉“几乎忘了膝盖做过手术”,尤其能满足散步、旅游、甚至适度运动的需求。
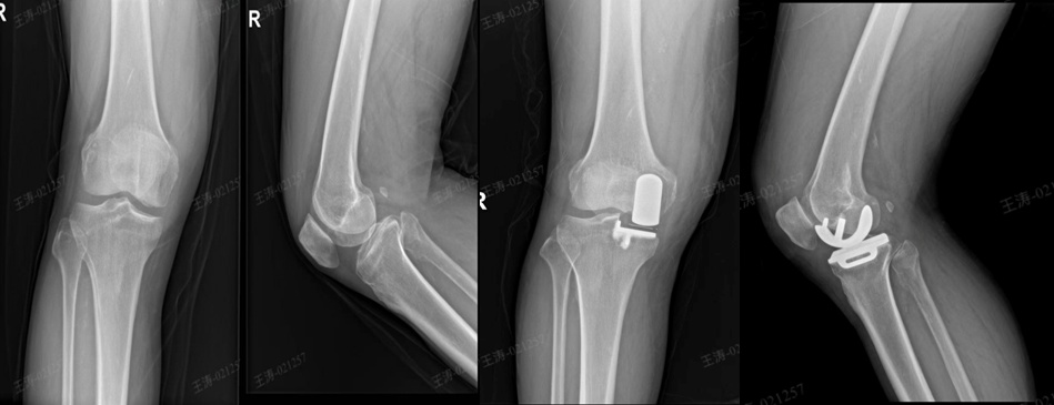
专注解决“膝前痛”,常见于上下楼、下蹲时疼痛加剧,而其他间室完好的患者。技术精髓在于仅对髌骨和股骨滑车表面进行置换,保留了膝关节内外侧的健康结构及所有韧带。

核心优势在于针对性根除特定痛苦,术后患者上下楼梯、起身下蹲的疼痛得到明显缓解,同时避免了为局部问题而置换整个关节的“过度治疗”。这是解决孤立性髌股关节炎的终极微创方案,能有效恢复膝关节伸屈功能,缓解特定疼痛。
适用于同时存在内侧间室与髌股关节严重磨损,但外侧间室及膝关节关键韧带(如前交叉韧带)功能完好的患者。通过一次手术、一个切口,精准置换内侧间室和髌股关节,完整保留健康的外侧间室以及膝关节所有的原生韧带与运动机制。

相较于传统的全膝关节置换,它实现了“2/3个膝关节的微创置换”,保留了患者自身关节超过三分之一的原生结构。核心优势在于最大程度上避免全膝置换,既能同时解决行走负重痛和膝前活动痛,又保有了部分天然关节的感觉与功能,具有创伤小、出血少、康复快、本体感觉保留佳的优势。
赵凤朝介绍,理想的保膝候选人通常具有以下特征:膝关节疼痛主要集中于内侧、外侧或膝前特定区域;影像学检查证实仅为局部间室病变;韧带结构基本完整,膝关节稳定性良好;年龄相对较轻或活动需求较高,希望保留更活跃的生活方式。最终是否适合保膝、选择哪一种手术,需要经验丰富的保膝团队通过详细检查、影像评估,并结合患者的个人情况和意愿共同决定。
记者:李天蔚
图片:受访者供图
编辑:薛亮亮 周雨薇
审核:张晋洲 韩佳怡
