

打球崴脚、下楼踩空、走路绊倒……
生活中的“崴脚”太常见,多数人觉得休息几天就没事了。
但如果你发现:
外踝不怎么肿了,但总是反复疼;走路或上下楼,脚踝外侧总有“咯噔”的弹响感;总觉得脚踝后面有东西在“串动”?
注意了! 这可能不是普通的韧带拉伤,而是脚踝里的两根“筋”脱位了——医学上称为“腓骨肌腱滑脱”。
揭秘:脚踝里的“轨道”与“安全带”
我们把脚踝外侧比作一个“车站”:
腓骨沟(轨道):外踝骨头后方一个天然的浅槽。
腓骨肌腱(列车):负责脚踝稳定和发力的两根重要肌腱。
腓骨上支持带(安全带): 像强力胶带一样封在轨道上方,防止肌腱滑出。
为什么会“滑脱”?
大多是因为剧烈崴脚时,肌腱像弹弓弦一样猛地发力,瞬间撕裂了“安全带”。从此,这两根筋就成了“越狱犯”,一活动就跳出轨道。

图注:正常状态下,肌腱被支持带稳稳锁在骨沟内
辨别:你是单纯崴脚,还是肌腱滑脱?
很多患者被当成普通韧带损伤治了半年也没好。其实,通过疼痛位置和感觉就能初步判断


诊断:别让“动态损伤”逃过检查
肌腱滑脱具有“动态性”,静止不动时,它可能乖乖待在原位。
动态超声: 这是筛查的“神器”,医生让您动脚时,能实时看到肌腱“跳出轨道”的瞬间。
核磁共振(MRI): 能清晰显示支持带是否撕裂,以及是否有潜在的炎症。
腓骨肌腱脱位视频
治疗:给肌腱修一座“深水港”
如果肌腱反复滑脱,就像衣服的扣眼撑大了,普通的贴膏药、静养很难彻底解决。
对于有运动需求或慢性疼痛的患者,“腓骨沟加深术”是目前标准的“根治方案”。
1. 加深轨道: 既然“轨道(骨沟)”天生太浅留不住车,我们就手动将其加深。
2. 重建安全带: 将撕裂的“支持带”重新缝合、紧固。
真实案例:从弹响到重返赛场
19岁的篮球爱好者小乐,半年前崴脚后一直觉得脚踝外侧“不跟脚”,跑步时总有异物滑动感。
术前检查: 典型的腓骨上支持带撕裂,肌腱处于“半脱位”状态。
治疗方案: 进行了标准的腓骨沟加深及支持带修复。
术后效果: 术后6周开始康复训练,3个月恢复慢跑,如今已重新活跃在球场。

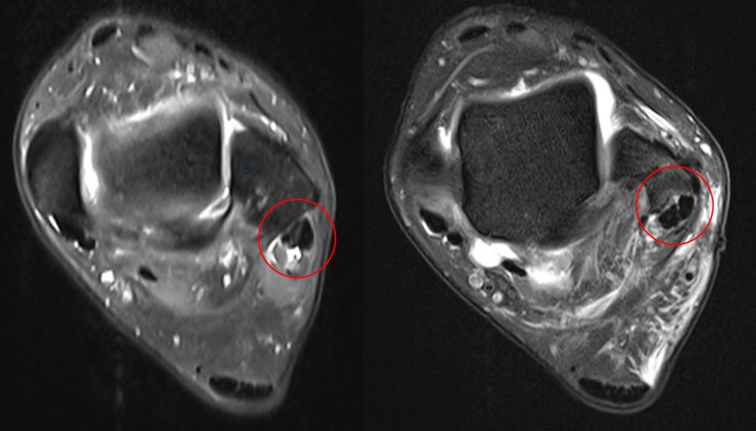
图注:术前腓骨肌腱撕裂,腱沟浅平;术后MRI显示腱沟加深,肌腱已复位,原本撕裂的区域已重新固定。
专家提醒:崴脚后的“黄金期”
1. 别硬扛: 崴脚后1周肿痛不缓解,建议寻求专科医生检查。
2. 查隐患: 明确是否有先天骨沟浅的情况,针对性加强踝关节稳定性。
3. 循序渐进: 术后康复与手术同样重要,切勿在组织未长牢前强行发力。
腓骨肌腱滑脱并不可怕,可怕的是误诊和拖延。找准病因,“深”挖隐患,才能让脚踝重新稳稳发力!
专家简介

程 千
医学博士、副主任医师、副教授、硕士研究生导师,骨科行政副主任,上海交通大学骨关节医疗科技与医学人文交叉创新人才培养基地主任,上海市医学会运动医学专科分会青年委员会副主任委员,上海市中西医结合学会运动医学专委会常务委员,上海市中西医结合学会运动医学专委会保膝学组组长,上海市中医药学会运动医学分会委员,上海市科学技术普及志愿者协会健康科普骨科与运动医学科普专委会委员,中国医药教育协会科普健康教育工作委员会委员,中国老年保健协会骨关节分会委员。从事骨科工作20年,熟悉骨科常见疾病诊治,2024年赴英国牛津大学交流,2013年赴德国Johanna Etienne Hospital交流,师从德国肩肘外科大会主席、南部德国骨科学会主席、著名运动医学及关节外科专家Jerosch教授,学习关节置换与关节镜技术。主编骨科专著2部,高校来华留学生英文骨科教材1部,上海交通大学医学院“十四五”规划骨科教材1部,副主编1部,发表SCI及核心期刊论文20余篇,获国家发明专利1项,实用新型专利10项,主持省厅课题2项,上海市卫健委课题1项。
擅长骨关节疾病微创治疗,髋、膝、肩、肘及踝等关节置换及关节镜技术;熟练开展保膝治疗、计算机导航下机械臂辅助单髁置换术、交叉韧带重建术;尤其在肩袖损伤、肩周炎、膝关节半月板及韧带损伤的关节镜治疗上有一定造诣。
骨关节专家门诊:
周一上午、周三上午、周四上午
骨科特需门诊: 周一下午
供稿:张弓皓
审核:程 千
校审:戴 云
预约就诊请关注公众号:
(配图源自网络,如有侵权请通知删除)
欢迎关注同仁医院官方微信服务号