
“医生,我这次不想再把膝盖全换掉了,还有别的办法吗?”
说这话的是已经八十多岁的李奶奶。别看年纪不小,她对生活可一点不糊涂:能走、能动、少疼,就是她现在最大的心愿。20多年前,李奶奶右膝做过全膝关节置换。手术虽然成功了,但那段康复日子,她现在回想起来都还“心有余悸”——
- 每次弯腿锻炼,都疼得满头大汗
- 半天不敢下床走路
- 心里一直害怕“又疼、又废、又走不了”
这一次,左膝也严重疼了起来,走路一瘸一拐,睡觉也被疼醒。孩子们心疼她,劝她:“年纪大了,忍一忍,吃点药就算了,别再做手术了。” 但李奶奶心里很清楚:“这种痛,只有我自己知道。我不想后半辈子都在忍痛过日子。”
她听说同仁医院程千主任团队开展“保膝单髁置换”微创手术,很多老人做完恢复快、疼痛轻、膝盖活动更自然。

详细评估后,程千医生发现:
李奶奶的膝关节只是一侧严重磨损,其他地方情况还不错,非常适合做“保膝单髁置换”。于是,她鼓起勇气,做了一个对自己来说很重要的决定: “这次,我要给自己的膝盖一个‘重新开始’的机会。”
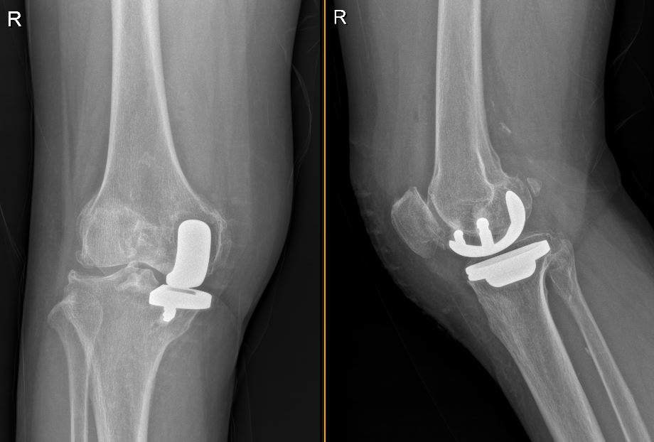
什么是“保膝单髁手术”?
单髁置换 : “只修坏的那一块,能留的尽量都保留”
单髁置换的特点:
1. 微创切口更小:只处理膝关节坏掉的那一侧,切口通常较小,软组织损伤更少。
2. 只换“坏半边”,保留好组织 :换掉磨损严重的那一侧关节面,保留大部分正常骨头、软骨和韧带,膝盖的“原装结构”保留得更多,运动感觉更接近自己的膝盖。
3. 术后恢复通常更快:出血少,疼痛相对轻,下床时间早,很多病人术后第二天就能在医生指导下下床活动。
4. 走路感受更自然:因为膝盖重要韧带还在,弯曲、伸直的感觉更接近天然膝关节,不少患者形容:“感觉像是修好了自己的膝盖,而不是装了一个完全陌生的关节。”
当然,并不是所有膝关节病人都可以做单髁;如果膝盖磨损范围太大、畸形太重,就更适合全膝置换,这个需要医生通过查体和影像来综合评估。

谁更适合“保膝单髁手术”?
单髁置换术主要适用于以下类型的患者:
1.单侧关节病变: 膝关节内侧或外侧单一部分严重退变,而其他部分关节面保存良好。
2.疼痛局限于膝关节的一侧:患者主要的疼痛和功能障碍集中在膝关节的一侧。
3.轻度畸形:轻微的轴向畸形(如轻度O型腿或X型腿)可以接受手术,但严重畸形则不适合。
4.骨坏死
术后,老奶奶在医护团队的精心照料下,逐渐恢复,第二天就下床活动,膝痛也逐渐减轻。现在她总是笑着说:“我发现单髁手术真的很不错,我现在感觉恢复得比之前快多了,而且走路的时候膝盖活动也很自然。”

单髁置换术后的康复,
大概会经历什么?
单髁置换术后的康复是一个系统的过程,需要患者、医师和康复专家的共同努力。康复过程包括以下几个阶段:
1. 术后早期:术后即刻开始膝关节被动活动训练,旨在防止关节粘连和促进血液循环。
2. 物理治疗:在专业物理治疗师的指导下,进行有针对性地恢复训练,如肌力训练、平衡训练和日常生活活动训练。
3. 步行练习:早期使用辅助工具(如拐杖或助行器)进行无痛或轻微痛感的步行训练,逐步过渡到独立行走。
4. 持续监测和评估:定期进行X光等影像学检查,监测假体的位置和稳定性,评估关节功能恢复情况。
康复的关键:
“早一点、慢一点”
- 早一点开始功能锻炼
- 慢一点、循序渐进地增加活动量
不是每个人都需要换全膝,
也不是每个人都适合单髁保膝。
最重要的是:
在专业医生的评估和团队的陪伴下,为自己的膝盖
做一次清楚、安心、不后悔的选择。

专家简介

程 千
医学博士、副主任医师、副教授、硕士研究生导师,骨科行政副主任,上海交通大学骨关节医疗科技与医学人文交叉创新人才培养基地主任,上海市医学会运动医学专科分会青年委员会副主任委员,上海市中西医结合学会运动医学专委会常务委员,上海市中西医结合学会运动医学专委会保膝学组组长,上海市中医药学会运动医学分会委员,上海市科学技术普及志愿者协会健康科普骨科与运动医学科普专委会委员,中国医药教育协会科普健康教育工作委员会委员,中国老年保健协会骨关节分会委员。从事骨科工作20年,熟悉骨科常见疾病诊治,2024年赴英国牛津大学交流,2013年赴德国Johanna Etienne Hospital交流,师从德国肩肘外科大会主席、南部德国骨科学会主席、著名运动医学及关节外科专家Jerosch教授,学习关节置换与关节镜技术。主编骨科专著2部,高校来华留学生英文骨科教材1部,上海交通大学医学院“十四五”规划骨科教材1部,副主编1部,发表SCI及核心期刊论文20余篇,获国家发明专利1项,实用新型专利10项,主持省厅课题2项,上海市卫健委课题1项。
擅长骨关节疾病微创治疗,髋、膝、肩、肘及踝等关节置换及关节镜技术;熟练开展保膝治疗、计算机导航下机械臂辅助单髁置换术、交叉韧带重建术;尤其在肩袖损伤、肩周炎、膝关节半月板及韧带损伤的关节镜治疗上有一定造诣。
骨关节专家门诊:
周一上午、周三上午、周四上午
骨科特需门诊: 周一下午
供稿:邹青松、方 丹
审核:程 千
校审:戴 云
预约就诊请关注公众号:
(配图源自网络,如有侵权请通知删除)
欢迎关注同仁医院官方微信服务