91岁的王爷爷在最近4年反复出现胸闷气短,时不时出现两条腿水肿,虽然长期在吃西药治疗,但是病情时有反复。
一周前王爷爷再次感到胸闷和气短,短短的几步路或者爬两层楼就觉得胸闷气短得厉害,严重的时候像“拉风箱”,甚至出现了晚上平躺的时候胸闷透不过气来,坐起来才觉得舒服些。
他还会感到一阵阵的心慌,时不时地出现咳嗽,但是痰很少又咳不出来。

诊断过程●揭开症状背后的真相
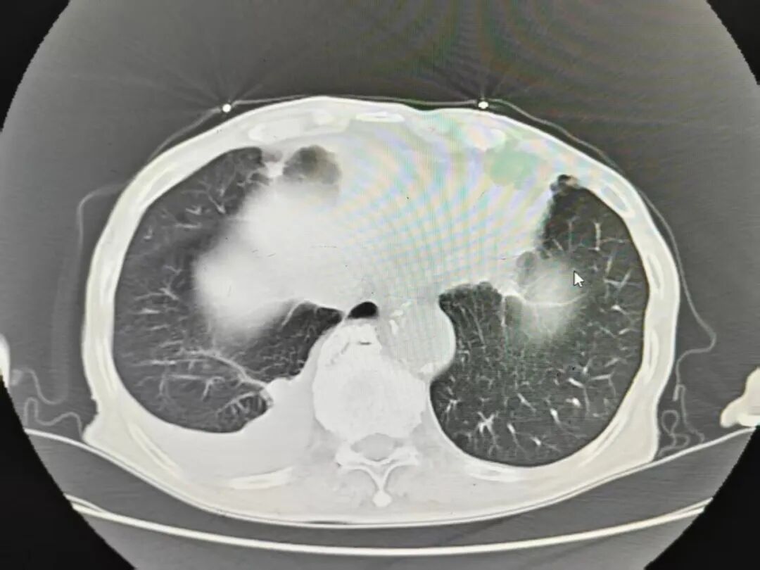
王爷爷在家人的陪同下,来到奉贤区中医医院急诊就诊。医生为他进行初步的检查,检查结果显示,王爷爷的心影增大,右侧有胸腔积液。

心电图提示心房颤动,心率快,心跳达到146次/分钟。

脑利钠肽水平明显升高,提示心力衰竭。

结合王爷爷的既往病史,医生初步诊断他为冠心病合并心力衰竭的可能性大,建议住院进行中西医结合系统治疗。
多管齐下●中西医结合治疗
在住院期间,心病科医师团队对王爷爷进行心血管方面的系统评估,通过B超、化验血及量表评估等方式,精准量化他心力衰竭程度,结合中医辨证为“气虚血瘀证”,制定了“强心利尿—补气活血”的中西医结合治疗方案。
中医方面,采用耳穴疗法、中药贴敷、穴位埋入、中药塌渍等中医特色疗法联合“保元汤合丹参饮”加减口服的中医综合治疗,起到调节脏腑功能,补气活血、利水消肿功效。
西医方面,采用强心、控制心率、营养心肌、改善心肌重构,配合利尿缓解下肢水肿。



经过12天的系统治疗,王爷爷的症状显著改善:活动后偶尔有胸闷气短症状出现,比较之前好转了很多,夜间再也没有因为胸闷憋醒需要坐起来的情况,一阵阵的心慌消失了,咳嗽咳痰也没有了,双下肢水肿完全消退。复查的心衰指标、心电图、胸腔积液情况都明显好转。

出院当日,王爷爷紧握主治医师的手感慨:“以前多走几步、爬两层楼就喘得像拉风箱,现在能自己买菜做饭了,这‘心’病真是治到根儿上了!”
什么是心力衰竭
中医综合治疗●非药物治疗
中医综合治疗●中药汤剂
专家介绍

沈琳,现任上海中医药大学附属龙华医院心内科副主任。兼任上海市中医药学会心病分会副主任委员、上海市中医药学会络病分会委员、世界中医药学会联合会络病专业委员会委员、中华中医药学会介入心脏病学专家委员会委员。担任《常见心脑疾病的中医预防和护养》执行主编,参编《跟名医做临床——内科难病(一)》《中医内科学》等著作。在国内外学术期刊发表专业论文三十余篇。
师从上海市名中医林钟香教授及国医大师严世芸教授,长期从事医、教、研第一线工作,对于内科常见病、多发病、疑难病诊治积累了一定的经验,尤其擅长心血管病的防治,善于运用中医药防治冠心病、高血压病、心肌炎、心律失常、心功能不全等疾病。

方芳,副主任医师,奉贤区中医医院心病科主任。奉贤区卫生系统学科带头人,上海市中医药学会心病分会委员。曾师从上海市名中医赵国定教授。从事中西医内科工作近三十年,积累了较丰富的临床经验。擅长中西医结合综合诊治心血管系统疾病,如高血压、冠心病、心肌炎、心律失常、心力衰竭等。
奉贤区中医医院心病科

心病科是奉贤区中医医院的中医传统科室,入选区中医特色专科。科室现有人员9人,其中副主任医师2名、主治医师4名、住院医师3名。
科室在继承中医传统理论的基础上,结合现代医学的诊疗技术,形成了以中西医结合药物治疗为主,配合中药贴敷、穴位埋入、中药塌渍、耳穴压丸等特色疗法,实现因人因病而异,辨证施治。
专家门诊
沈琳主任医师(龙华医院):
每月一次,周三下午,具体出诊时间请咨询预检台,门诊二楼专家门诊(57420861-8074)
方芳副主任医师:
每周三上午,门诊二楼专家门诊
吴蕾副主任医师(奉贤区中医医院):
每周五下午,门诊二楼专家门诊
✦
•
✦
专科及专病门诊
心病科专科门诊:
周一至周日(全年无休),门诊三楼
高血压专病门诊:
每周三下午,门诊三楼
高血脂专病门诊:
每周三下午,门诊三楼
•end•
往期精彩回顾
电影同款!有肉、有菜、有碳水,网友直呼:鲜掉眉毛
从“被遗忘角落”到“宜居新空间”,庄行冷泾新村美丽蝶变纪实
杨王地块成功出让!将践行“好房子”标准,重塑品质人居新格局
进度更新!金汇镇重点项目建设最新进展!
上海市奉贤区海外联谊会召开第六次会员大会