
咯血带来的恐惧
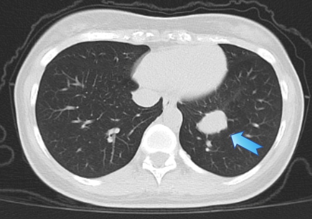
今年8月中旬,28岁的王女士(化名)在家中突然咳出鲜血,起初觉得只是咽喉炎或空气干燥引起的。没想到连着咳血,她赶紧前往当地医院就诊,胸部CT提示:左肺下叶约1.6 cm结节影,医生初步考虑为“结核球”。经省城三甲医院增强CT检查显示:病灶内部血供丰富,医生高度怀疑恶性肿瘤,建议尽快住院手术切除。这一判断让夫妻二人难以置信。

外院CT检查图像,箭头处为病灶
他们又赶往邻省另一家大医院,在接受抗感染治疗一周后,王女士又出现两次明显咯血。复诊复查CT显示:结节由约1.6 cm增至约2.7 cm。当地医生再次建议尽快手术,认为可能需切除较大范围的左肺叶。由于病灶血供丰富,穿刺风险很高,所以难以获取病理。随后几天,夫妻俩辗转4家医院,答复几乎一致:必须手术切除。
一条“也许还能保住整肺”的路
这天,王女士家属在检索相关资料时了解到“介入治疗”这一方案——通过血管途径到达病灶,精准阻断异常血供,达到治疗效果。他们赶紧预约了瑞金医院放射介入科副主任医师王子寅的门诊。门诊评估中,王医生详细追溯病人每次咯血与影像变化,逐页核对不同医院的影像资料,仔细询问既往结核史、咯血量与频次。综合分析后,王医生给出不同的诊断:“这个病灶不一定是肿瘤,也不一定需要切肺。很有可能是血管性病变。如有需要,我们也可以安全地获得病理。”
精准锁定病灶,最大限度保住肺
王女士很快入住瑞金医院放射介入科病房。经过肺动脉CTA检查后,答案清晰——经团队讨论判定,该病变并非典型“肺内肿块”,而是位于左肺下叶分支血管内的肺动脉动脉瘤。该病变很少见,与咯血高度相关,一旦破裂可导致大出血,性命攸关。

王女士术前CTA图像
在手术室和麻醉科的支持下,瑞金医院血管微创介入治疗团队为王女士实施介入手术:由王忠敏主任医师主刀、王子寅副主任及单群刚主治医师担任助手,从股静脉穿刺建立通道,在影像引导下将导管逐级送入左肺下叶病变分支,完成超选择性插管,造影清晰显示动脉瘤轮廓与供血。确认定位后,于瘤腔内精准释放多枚解脱弹簧圈,阻断瘤内血流。复查造影未见残余充盈,提示出血风险已被当场解除。整个过程不开胸、不切肺,体表仅有一个微小穿刺点。

经过超选择性插管,完整显示动脉瘤轮廓与供血

术后CTA复查:动脉瘤得到了精确且完全栓塞
术后第二天肺动脉CTA复查显示:动脉瘤被完全“封堵”,局部血流切断。王女士恢复平稳,未再出现咯血,随后顺利出院。她感慨道,感觉自己全好了!
什么是肺动脉动脉瘤?为什么它如此危险?
肺动脉动脉瘤(Pulmonary Artery Aneurysm,PAA)为肺动脉局部血管壁异常扩张,虽少见但危险性高,一旦破裂可导致大量咯血,严重者可短时间内出现窒息或失血性休克。
该病变早期易与“肺结节”混淆,临床上常被误以为肿瘤或感染性占位。
常见原因有:
·感染相关,典型如肺结核,炎症坏死可侵蚀邻近肺动脉壁,形成Rasmussen动脉瘤,临床表现多为反复咯血。
·非感染因素,如系统性血管炎(如白塞病)、肺动脉高压、先天性心脏病(如动脉导管未闭、室间隔缺损)等,长期压力或炎症负荷可促使肺动脉扩张成瘤。
针对这类病变,血管微创介入治疗可在不切除肺组织的前提下,通过超选择性入路对致病血管进行“定点关闭”,以控制出血风险。
肺动脉动脉瘤如何预防?
1、结核要规范治到位:未充分治疗的结核可腐蚀肺动脉壁,形成Rasmussen动脉瘤,易致大咯血。请在医生指导下完成足疗程抗结核治疗。
2、高危人群要定期做影像复查:慢性结核空洞、白塞病、肺动脉高压等患者,建议规律复查低剂量胸部CT或肺动脉CTA,尽量在动脉瘤小、未破时发现。
3、基础病必须控制:血管炎症需规范应用免疫抑制治疗,肺动脉高压需降压管理,减少对血管壁的持续损伤。
4、任何反复咯血都要重视:哪怕只是痰中带血,也应及时就医并完善血管成像。必要时在评估后可行预防性介入栓塞,提前“封堵”高危血管,降低致命性出血风险。
5、减轻肺循环压力:戒烟,避免长期缺氧,遵循医嘱进行基础疾病的长期管理。
供 稿丨放射介入科
编 辑丨温兆琦
