近日,一位因反复头晕、上肢无力就诊的老年患者,经超声精准诊断为锁骨下动脉窃血综合征,通过支架植入手术成功缓解症状。这一案例再次凸显了血管超声在心血管疾病早期筛查中的关键作用。

近日,65岁的李伯伯在公园晨练时突发头晕、站立不稳,并伴有右手酸软无力。尽管血压检测正常且手臂无外伤史,症状仍间歇性发作。回忆起去年体检时超声提示的颈动脉斑块,李伯伯在儿子陪同下前往瑞金医院卢湾分院超声诊断科进行复查。
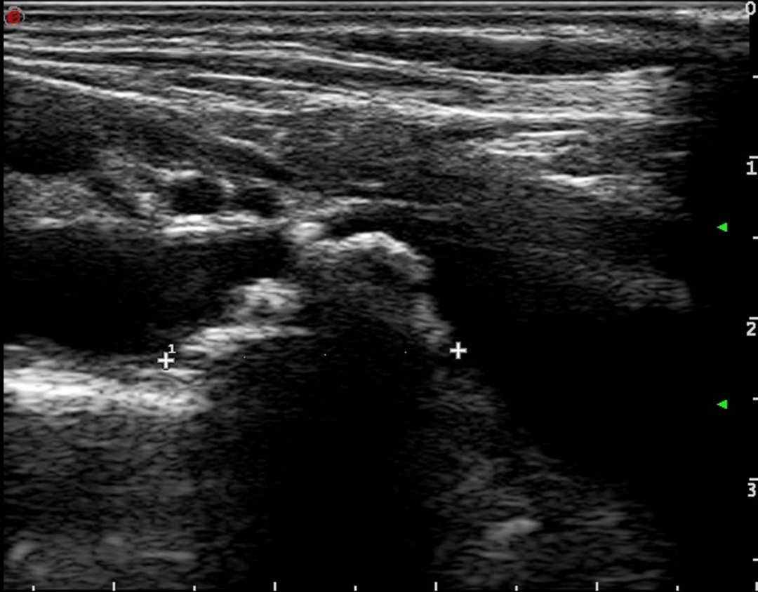
超声诊断科血管疾病超声组陈曦医生通过详细扫查发现,李伯伯右侧锁骨下动脉起始处存在一枚较大斑块,导致血管狭窄率超过50%。同时,其右侧椎动脉起始处存在先天性轻度狭窄,且椎动脉血流方向完全逆转,形成典型的“锁骨下动脉窃血”现象。陈医生解释,由于锁骨下动脉狭窄引发虹吸效应,本应供应脑部的血液逆流至病变血管,导致椎-基底动脉缺血及上肢供血不足,从而引发头晕、视物模糊、上肢乏力等症状。


进一步超声评估显示,李伯伯右侧椎动脉血流频谱在收缩期和舒张期均呈完全反向,确诊为III型完全型窃血。基于这一明确诊断,心血管团队为其实施了锁骨下动脉支架植入术。术后,李伯伯的头晕及上肢无力症状完全消失,血压恢复对称,桡动脉搏动明显增强。医生特别叮嘱他控制运动强度,避免长时间上肢用力,并定期复查血管状况。

锁骨下动脉窃血综合征是一种因动脉狭窄或闭塞导致血流逆流的血管疾病,常见症状包括眩晕、耳鸣、患肢发冷疼痛等,严重时可引发脑梗死。瑞金医院专家指出,彩色多普勒超声是诊断该病的首选方法,可精准定位病变部位、评估狭窄程度,并为后续治疗提供依据。
预防方面,专家建议公众积极控制高血压、糖尿病等基础疾病,戒烟限酒以保护血管健康,并定期进行血管超声检查,尤其是有动脉硬化家族史或高危因素的人群。早期发现血管斑块或狭窄,可通过药物干预或微创手术有效降低疾病风险。
此次案例不仅展现了现代医学影像技术的精准性,也为公众敲响健康警钟:关注血管健康,定期筛查,及时干预,方能远离“窃血”危机。
记者 / 邵林峰 瞿煌俊
编辑 / 李伽钵
图片 / 邵林峰 瞿煌俊
转载请注明来自上海黄浦官方微信
1. “小金陵路”老菜场焕新归来!多家烟火气“网红”美食登场,环境升级菜价便宜
2. 白领青年速来!“脆皮青年”抱团养生局,元气疗愈社群解锁长期活力buff~