近日,
陕西西安的修理师傅章先生
经历了惊险时刻——
弯腰修理水管时,
自己的“生命水管”却疯狂渗血!
心脏几乎在“空转”!
相关话题登上了热搜↓

男子修水管时血管爆了
命悬一线
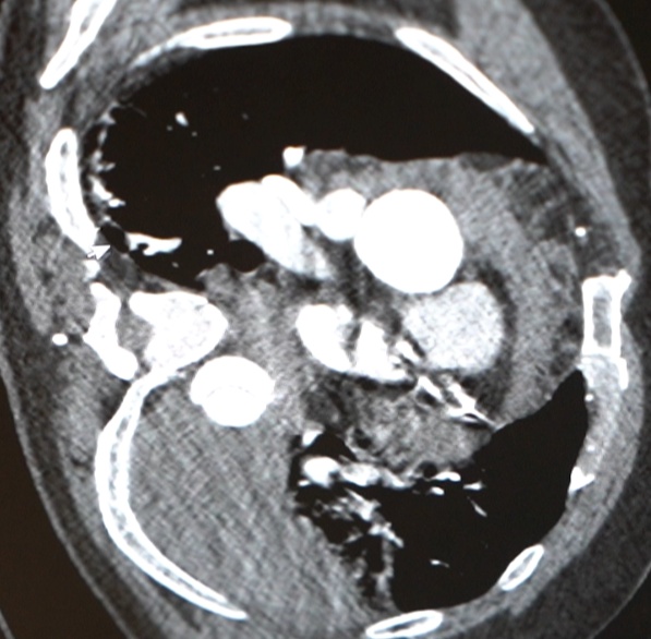
“当时正弯腰拧水管,突然背后像被什么东西撕裂一样疼,一下子就晕倒了。”事后清醒的章师傅回忆起发病的那一刻,仍心有余悸,他毫无征兆地出现左背部撕裂痛,休息后不仅没有缓解,反而愈发严重,大半夜救护车载着他一路疾驰到医院。

急诊检查结果不容乐观:胸腹主动脉夹层伴胸腔大量积液、纵隔积液——这些积液,考虑是从撕裂的主动脉里漏出来的!
医院心脏血管外科团队紧急会诊,这虽是B型主动脉夹层,但极其凶险,而且他已出现休克表现。“主动脉夹层就像水管壁分层开裂,一旦完全破裂,血液会瞬间涌入胸腔,没有任何抢救机会。他这种情况,已经是命悬一线。”心脏病院副院长张金洲语气凝重。
好在经过医务人员63分钟的紧急抢救,章先生终于脱离了生命危险。可是危机并未完全解除。术后的章师傅心率快,血压持续偏低,转入心外ICU,主管医生时乐祥发现,他的心脏因失血过多几乎呈“空泵”状态。

“当时他胸腔里的术前积血还在不断渗出,术后引流血性液体达1700毫升,相当于普通人全身血液的1/3。”
心外ICU主任赵蕾回忆道。在长达6天的救助与护理之后,章先生终于在这场与死神的拔河中胜利了。
主动脉夹层离职场人并不远,
今年就有此类案例频发↓
相关案例
27岁小伙加班突发剧痛
4月,27岁的“90后”职场人小张在加班时突发剧烈腹痛,痛感剧烈到无法站立、呼吸困难,同事紧急将其送医。据悉,小张长期加班熬夜、饮食作息不规律,患有重度肥胖和高血压却未重视,入院时血压高达210/90mmHg。经CT扫描检查,小张被确诊为主动脉夹层,病情凶险。四小时手术后,小张血压控制理想。
网约车司机体内血管“撕裂”
10月5日,50岁的网约车司机王大哥刚结束连续4天的跑车工作,在麻将桌前坐了2小时,突然觉得胸口剧痛,喘不过气来。朋友见状赶紧拨打120送医。检查结果提示为“急性主动脉夹层”,并且已经“破裂”—— 血管从降主动脉起始部一直撕裂到左侧腿部动脉,撕裂范围极广。手术后,王大哥的胸痛瞬间缓解,暂时脱离生命危险。
医生提醒:
4类人群要警惕
出现此类疼痛,请立即就诊
主动脉夹层的发病有明显季节规律,很多主动脉夹层是“冻”出来的,气温低时,主动脉夹层的发病率也会升高。冬季急性主动脉夹层的发生率为33.6%,春季和秋季均为24.9%,夏季为17.2%。以下这4类高危人群要警惕。
高血压患者
高血压是主动脉夹层最重要的危险因素,长期慢性的高血压可能会导致主动脉壁中层受损,约有80%的主动脉夹层患者伴有高血压。
肥胖者
肥胖患者动脉承受的压力较正常体重的人群要大,这可能诱发主动脉夹层。
孕妇
孕期女性由于血流动力学的变化,血压可能升高,从而增加主动脉夹层的风险。
动脉硬化患者
动脉硬化会导致血管壁变薄和强度下降,容易发生主动脉夹层。
医生提醒:一旦出现突发胸背部撕裂样疼痛等症状,请务必立即拨打120就诊。若出现持续性胸腹部疼痛、呼吸困难,切勿拖延,应立即就医检查。
申工社综合整理自西安国际医学中心医院、央视新闻、成都市温江区人民医院、杭州师范大学辅助医院订阅号等
本期编辑:凌睿
转载需注明出处